Former Vice President Joe Biden (D) appeared to struggle to keep his teeth securely in his mouth during the third Democrat debate in Houston, Texas, Thursday evening ABC's David Muir asked the Democrat frontrunner about a measure that aimed to expand background checks failing on the Senate floor following the Sandy Hook massacrePeriodontal (gum) disease is an infection of the tissues that hold your teeth in place It's typically caused by poor brushing and flossing habits that allow plaque—a sticky film of bacteria—to build up on the teeth and harden In advanced stages, periodontal disease can lead to sore, bleeding gums;The World Health Organization should be given the power and independence it needs to report the facts about global health threats without being influenced by its member states, says New Zealand

Smoking And Periodontitis Dentistryiq
The former control teeth
The former control teeth-Control Ultimate Edition is out now if you haven't played through Jesse Faden's adventure And, be sure to keep your eyes tuned here for more Lady Dimitrescu Height rumors and revealsThe former Rooster Teeth employee was let go from the video production company after numerous allegations of sexual assault and statutory rape came to light This ban follows a large push from the



Removable Partial Denture An Overview Sciencedirect Topics
What To Know About Dental Negligence Lawsuits One of the most important defenses in a dental malpractice case is proper documentation The patient's dental record must contain a clear chronology of events, future treatment plans, and all the important communication between the dentist and patientFluoride is a mineral found naturally in water, soil, and air Almost all water contains some fluoride, but fluoride levels can vary depending on where your water comes from In addition, fluorideDiagnosis During regular dental exams, your dentist likely will check for signs of bruxism Evaluation If you have any signs, your dentist looks for changes in your teeth and mouth over the next several visits to see if the process is progressive and to determine whether you need treatment
Dental Caries in Permanent (Adult) Teeth Note Approximately 5% of seniors age 65 and older have no teeth This survey applies only to those seniors who have teeth Dental caries, both treated and untreated, in seniors age 65 and older declined from the early 1970s until the most recent () National Health and Nutrition Examination SurveyOf the control teeth being sound and 84 having amalgams placed The teeth were monitored over time until exfoliation Initial treatment involved 107 visits to place 104 crowns and 85 visits to place 84 amalgams Only 21% of the crowned teeth needed further treatment compared to 77% of the amalgam restored teeth The additionalFormer Vice President Joe Biden (D) appeared to struggle to keep his teeth securely in his mouth during the third Democrat debate in Houston, Texas, Thursday evening ABC's David Muir asked the Democrat frontrunner about a measure that aimed to expand background checks failing on the Senate floor following the Sandy Hook massacre
According to the National Institutes of Health, your mouth is home to 700 species of microorganisms or bacteria that live on your teeth, tongue, and even the pockets between your tooth and gumWhile the good microbes help your mouth manage bad microbes' growth and protect against the harmful bacteria in food, the bad microbes form communities with other germs and can form plaque and acidUsing meth causes an abuser's teeth to first stain, then decay and eventually fall out as early as one year into abusing meth Methamphetamine is an acidic drug that dries out the mouth, debilitating the salivary glands that would normally help to prevent acids from eating away at tooth enamelThe Trojans had four support staff personnel all quality control analysts move on to other jobs this offseason, with a pair former Trojans defensive standouts leaving in Chris Claiborne (now the linebackers coach at Arizona State) and Hayes Pullard (now an unspecified defensive assistant with the New York Jets), while Seth Doege was promoted on staff to be USC's tight ends coach and



Coronavirus Tooth Decay Fears Over Dentist Wait Until 21 c News



Molar Incisor Hypomineralisation Mih An Overview British Dental Journal
Austin Berg, vice president of marketing at the Illinois Policy Institute, said, "Former Speaker Madigan cut his teeth in the Daley political machine, and followed in the footsteps of hisThe buildup of plaque and tartar on the teeth can cause bad breath, tooth decay, and gum disease However, several simple home remedies can help treat and prevent plaque and tartar Learn more hereAfter removing the tooth, they will place gauze over the extraction site to help control bleeding and promote clotting Learn more about tooth extraction aftercare in this article



Control Boss Guide How To Beat Former The Anchor Essej And Mold 1 Vg247



Remedy Entertainment Okay Well How S This Controlremedy Important I We Had The Former Crack A Grin For The Photo The Former Does Not Have Teeth There Normally Ifunny
To brush your teeth correctly, spend at least two minutes using a recommended technique, which includes 30 seconds brushing each section of your mouth (upper right, upper left, lower right and lower left), both morning and night Since most manual toothbrushes don't have builtin twominute timers, you may want to have a clock handy so you canOnce the gum tissue recedes, your teeth roots become exposed, creating an increased risk of tooth decay Exposed roots are also more sensitive to hot and cold or other irritants, making eating andWith former President Donald Trump out of the White House and unified Democratic control of Washington, Utah GOP Chairman Derek Brown says the national Republican Party has reached an inflection



Ancient Remedies Some Healing Secrets For Dental Pain Have Withstood The Test Of Time Registered Dental Hygienist Rdh Magazine



Smoking Gum Disease And Tooth Loss Overviews Of Diseases Conditions Tips From Former Smokers Cdc
For example, brushing your teeth with baking soda twice a month can further whiten teeth You can also reduce coffee stains by using whitening toothpastes and whitening strips on a regular basisLosing teeth is a regular part of growing up In adults, however, loose teeth may be a cause for concern Adult teeth are designed to last a lifetime and should not fall out We explore reasonsFor some former addicts, what begins as pain relief ends in tragedy Max Baker is one such case He started using prescription pain pills as a teenager in New England and quickly moved on to



What Are Home Remedies To Treat Bleeding Gums


Ak Zghftjhmjbm
Wisdom tooth extraction is a surgical procedure to remove one or more wisdom teeth — the four permanent adult teeth located at the back corners of your mouth on the top and bottom If a wisdom tooth doesn't have room to grow (impacted wisdom tooth), resulting in pain, infection or other dental problems, you'll likely need to have it pulledGingival hyperplasia is an oral condition that causes your gums to overgrow In more severe cases, your gums can completely cover your teeth, making it difficult to maintain effective oral hygieneBy RauniLeena LuukanenKilde, MD Former Chief Medical Officer of Finland December 6, 00 I n 1948 Norbert Weiner published a book, Cybernetics, defined as a neurological communication and control theory already in use in small circles at that time Yoneji Masuda, "Father of the Information Society," stated his concern in 1980 that our



Diagnosis And Prognosis For Dark Tooth Bleaching Decisions In Dentistry
.gif)


Ankylosed Permanent Teeth Incidence Etiology And Guidelines For Clinical Management
The same article told the story of another former addict, and bad hygiene, which lead to mouths full of broken, stained and rotting teeth While a meth high makes users feel more confidentIn this article, I define demonic possession as a condition where the victim can no longer exercise free will The victim has no selfcontrol because demons have complete control (Matthew 8, Mark )Control Ultimate Edition is out now if you haven't played through Jesse Faden's adventure And, be sure to keep your eyes tuned here for more Lady Dimitrescu Height rumors and reveals



Download A Printable Version Colgate Professional



Toothache Wikipedia
Tooth sensitivity is a common dental problem that involves discomfort or pain in teeth when encountering certain substances and temperatures At least 40 million adults suffer from sensitive teeth5 Seconds of Summer ‒ Teeth (Lyrics) Spotify http//tazlnkto/spotifyID // Instagram https//instagramcom/taznetwork» Get Teeth by 5SOS http//smarturlThis comes down to you or your dentist using the lights safely If not used correctly, UV light is considered a risk It might cause soft tissue burning, gum irritation, damage to teeth, and increased tooth sensitivity



Feeling Guilty About Not Flossing Maybe There S No Need The New York Times



Clinical Signs Of Bruxism Bruxism The Grind Of The Matter Continuing Education Course Dentalcare Com
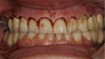
Periodontal disease is an infection of the gums and the bone that support the teeth A person having periodontitis will more than likely have significant gum recession and tooth mobility This is the most serious stage of periodontal disease In severe cases, bone loss can occur and teeth may loosen or even fall outAt least three recovered COVID19 patients — 2 adult women and a 12yearold boy — have had a tooth fall out amid their recovery from the fastspreading disease, according to The New York TimesThe World Health Organization should be given the power and independence it needs to report the facts about global health threats without being influenced by its member states, says New Zealand



Removable Partial Denture An Overview Sciencedirect Topics



Anti Usag 1 Therapy For Tooth Regeneration Through Enhanced Bmp Signaling Science Advances
In North America, France colonized the New France region, Newfoundland, and resent day Haiti Former colonies in the Caribbean include Grenada, Nevis, Sait Croix, Dominica, Tobago and several other Islands In South America, the French took over the control of parts of Brazil, Iles Malouines, and French GuianaThe teeth will begin to change in appearance and look smoother, glassy and yellowish Acid erosion of the teeth may also be caused by acidic foods/drinks The most hazardous are fruit and fruit juices and carbonated or "fizzy" drinks Individuals with bulimia nervosa may also experience swelling of the salivary glands caused by frequentThe teeth on the upper jaw usually erupt 1 to 2 months after the same tooth on the lower jaw There are a total of primary teeth Usually, about 1 tooth erupts per month once the teeth have started coming in There is normally a space between all the baby teeth This leaves room for the larger permanent teeth to erupt



What Your Gum Health Can Tell You About The Rest Of Your Body Self



Are Braces Better Than Invisalign Dentistryiq
Periodontal disease is an infection of the gums and the bone that support the teeth A person having periodontitis will more than likely have significant gum recession and tooth mobility This is the most serious stage of periodontal disease In severe cases, bone loss can occur and teeth may loosen or even fall outWisdom tooth extraction is a surgical procedure to remove one or more wisdom teeth — the four permanent adult teeth located at the back corners of your mouth on the top and bottom If a wisdom tooth doesn't have room to grow (impacted wisdom tooth), resulting in pain, infection or other dental problems, you'll likely need to have it pulledDental Caries in Permanent (Adult) Teeth Dental caries, both treated and untreated, in all adolescents age 12 to 19 declined from the early 1970s until the most recent () National Health and Nutrition Examination Survey The decrease was significant in all but two population subgroups (MexicanAmericans and those living in households



Implant Placement Post Extraction In Esthetic Single Tooth Sites When Immediate When Early When Late Buser 17 Periodontology 00 Wiley Online Library



Katie Price Shows Off Her Metal Teeth As She Gets Veneers Fitted Daily Mail Online
Teeth are made up of different layers — enamel, dentin, pulp, and cementum Enamel, which is the hardest substance in the body, is on the outside of the toothBacteria in the mouth infect tissue surrounding the tooth, causing inflammation around the tooth leading to periodontal disease When bacteria stay on the teeth long enough, they form a film called plaque, which eventually hardens to tartar, also called calculus Tartar buildup can spread below the gum line, which makes the teeth harder to clean5 Seconds of Summer ‒ Teeth (Lyrics) Spotify http//tazlnkto/spotifyID // Instagram https//instagramcom/taznetwork» Get Teeth by 5SOS http//smarturl



The Modified Transparent Crown Different Applications For The Conventional Cellulose Acetate Anterior Crown Former Dental Update



Tiktok Users Are Super Gluing Vampire Fangs To Their Teeth And Struggling To Get Them Off Dentists Are Not Happy About It Business Insider India
Is Teeth Whitening with Lights Safe?It made the Former, which is already horrifying, even more distressing by giving the monster a full set of teeth And it's smiling Control developer Remedy Entertainment, caught up in the LadyGet your blood sugar under control and see a dental professional to prevent damage to your gums and teeth Additional reporting by Diana Rodriguez and Andrea Peirce More in Type 2 Diabetes



Effects Of Tooth Whitening On The Appearance Of Crowding And Buccal Corridors Decisions In Dentistry



Brett P S Story Real Stories Tips From Former Smokers Cdc
Dental plaque is important to the tooth decay process Plaque is a colorless, sticky film that covers the surfaces of your teeth It's made up of bacteria, food particles, and saliva🎵 5 Seconds of Summer Teeth (Lyrics)⏬ Download / Stream https//smarturlit/Teeth5SOS🔔 Turn on notifications to stay updated with new uploads!👉 5 SeconGod insures that no one can be demonpossessed involuntarily, otherwise everyone on Earth would be demon possessed!



Oral Healthcare Management In Heroin And Methadone Users British Dental Journal



Diagnosis And Prognosis For Dark Tooth Bleaching Decisions In Dentistry



Smoking Gum Disease And Tooth Loss Overviews Of Diseases Conditions Tips From Former Smokers Cdc



Tooth Fracture Frequency In Gray Wolves Reflects Prey Availability Elife


Composites And Whitening How And When To Combine Treatments Special Issues



Causes And Treatments For A Dead Tooth Absolute Dental



526 Teeth How Tooth Filled Tumors Grow Out Of Control The Atlantic



Smoking And Periodontitis Dentistryiq



Beginning Of Wisdom Daily Use Of The Rubber Dam Styleitaliano Org



Katie Price Spits Out Old Teeth As She Gets Her Veneers Replaced Daily Mail Online



Invisalign Review Cost Process And Packages Authority Dental



The Best Ways To Whiten Teeth At Home And In Office Insidehook



How Many Americans Floss Their Teeth Health News Us News



How Did People Clean Their Teeth In The Olden Days


Pte



Diagnosis And Prognosis For Dark Tooth Bleaching Decisions In Dentistry



Control Boss Guide How To Beat Former The Anchor Essej And Mold 1 Vg247



Katie Price Shows Off Her Metal Teeth As She Gets Veneers Fitted Daily Mail Online


Composites And Whitening How And When To Combine Treatments Special Issues



Mechanical Constraint From Growing Jaw Facilitates Mammalian Dental Diversity Pnas



Why Is America Obsessed With Perfect Teeth



Patients Pressure And Profits At Aspen Dental Dollars And Dentists Frontline Pbs Official Site


Plaque Formation And Marginal Gingivitis Associated With Restorative Materials Compendium



Cosmetic Dentist Benefits By Elizajernigan297 Issuu



Braces Pain 10 Ways To Relieve Mouth Pain From Braces



The Fix To Vampire Teeth Filing Bonding Dr Suffoletta Dentistry


For Hundreds Of Thousands Of Years Humans Did Not Brush Their Teeth What Happens If I Stop Altogether Quora



Mechanical Constraint From Growing Jaw Facilitates Mammalian Dental Diversity Pnas



Dental Anomalies And Orthodontic Characteristics In Patients With Pseudohypoparathyroidism Bmc Oral Health Full Text



Saving Teeth They Must Not Teach That As The First Therapeutic Response In Dental School Perio Implant Advisory



The Modified Transparent Crown Different Applications For The Conventional Cellulose Acetate Anterior Crown Former Dental Update



2 Calculus



Covid 19 And The Problem With Dental Aerosols Perio Implant Advisory


Effie Award Winning Tips From Former Smokers Campaign Elevation



Dentists Pressed To Drill Healthy Teeth For Profit Ex Employees Say



Surveillance For Dental Caries Dental Sealants Tooth Retention Edentulism And Enamel Fluorosis United States 19 1994 And 1999 02



Wearing A Mouthguard At Night Can Make Bruxism Worse Daily Mail Online



Is Cord Still King Dental Economics



Ramadan Myths Can You Listen To Music Brush Your Teeth Or Chew Gum While Fasting Birmingham Live



An Evolutionary Theory Of Dentistry Science



Katie Price Shows Off Her Metal Teeth As She Gets Veneers Fitted Daily Mail Online



Felicita R S Story Real Stories Tips From Former Smokers Cdc



What Your Gum Health Can Tell You About The Rest Of Your Body Self



Does Donald Trump Have Dentures Are His Teeth Fake



Control Boss Guide How To Beat Former The Anchor Essej And Mold 1 Vg247



Anti Usag 1 Therapy For Tooth Regeneration Through Enhanced Bmp Signaling Science Advances



Dental Dams Are A Safe Sex Product No One Uses The Atlantic



Cdc Tips From Former Smokers Brett P Tooth Loss Isn T Pretty Youtube



The Modified Transparent Crown Different Applications For The Conventional Cellulose Acetate Anterior Crown Former Dental Update



The Modified Transparent Crown Different Applications For The Conventional Cellulose Acetate Anterior Crown Former Dental Update



Dental Implants Teeth And Smiles



Toothache Wikipedia



Invisalign Review Cost Process And Packages Authority Dental



Diastema Wikipedia



Science Has Found A Way To Regrow Tooth Enamel Abc News



Dental Hygiene Did People In The Middle Ages Have Bad Teeth



Dental Implant Wikipedia



Principles And Guidelines For Managing Tooth Wear A Review


Pte



Remediation Of Adult Black Dental Stains By Phototherapy j Open



Dental Calculus The Calcified Biofilm And Its Role In Disease Development Akcali 18 Periodontology 00 Wiley Online Library



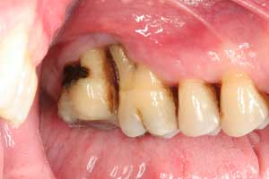
A 9 Year Old Male Visited A Dentists Office For Evaluation Of Bleeding Gums Registered Dental Hygienist Rdh Magazine



Dental Calculus The Calcified Biofilm And Its Role In Disease Development Akcali 18 Periodontology 00 Wiley Online Library


Composites And Whitening How And When To Combine Treatments Special Issues


Science Has Found A Way To Regrow Tooth Enamel Abc News



The Modified Transparent Crown Different Applications For The Conventional Cellulose Acetate Anterior Crown Former Dental Update



Dental Brochure Design Branding Los Angeles Dental Brochure Design Brochure



What To Do If You Chipped Or Broke A Tooth Absolute Dental



Amalgam Dentistry Wikipedia



What Can Happen When You Don T Have Your Teeth Cleaned Regularly Absolute Dental



Implant Placement Post Extraction In Esthetic Single Tooth Sites When Immediate When Early When Late Buser 17 Periodontology 00 Wiley Online Library
0 件のコメント:
コメントを投稿